E-ISSN 1858-8360 | ISSN 0256-4408
 

Case Report
Online Published: 22 Jun 2023
 


SUDANESE JOURNAL OF PAEDIATRICS

2023; Vol 23, Issue No. 1

CASE REPORT

Pituitary stalk interruption syndrome: a rare cause for poor developmental growth in children

Aditi Saini (1), Poonam Sherwani (1), Gaurav Gupta (1), Pradeep Kumar Roul (1)

(1) All India Institute of Medical Sciences, Rishikesh, India

Correspondence to:

Poonam Sherwani

All India Institute of Medical Sciences, Rishikesh, India.

Email: sherwanipoonam [at] gmail.com

Received: 10 January 2022 | Accepted: 21 February 2023

How to cite this article:

Saini A, Sherwani P, Gupta G, Roul PK. Pituitary stalk interruption syndrome: a rare cause for poor developmental growth in children. Sudan J Paediatr. 2023;23(1):88–90.

https://doi.org/10.24911/SJP.106-1641792629


A 7-years–6-months old boy presented to the endocrinology clinic with complaints of poor weight and height gain, which was first observed by the parents when the child was 5 years old. The child was born out of a non-consanguineous marriage by caesarean section due to breech presentation. His birth weight was 2.35 kg. He had no perinatal complications like jaundice, dehydration or hypoglycaemia.

On recent examination, his weight, height and body mass index were 15.8 kg (<3rd centile), 108 cm (<3rd centile) and 13.6 kg/mm3 (10–25th centile), respectively. These indicated poor physical growth for age. However, the child was active with normal assessment for mental development. His lab investigations showed raised thyroid stimulating hormone (3.80 µIU/ml) with reduced thyroxine (FT4, 0.6 ng/ml). A growth hormone (GH) stimulation test was done which showed that the post clonidine (0, 30, 60, 90, 120 minutes – <5 mcg/l). Insulin growth factor levels were <25 ng/ml (40–255 ng/ml). This biochemical picture pointed towards the diagnosis of anterior pituitary hormone deficiency.

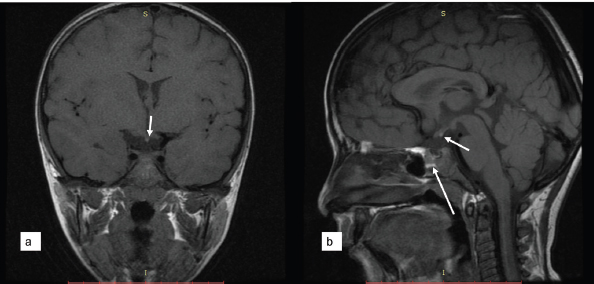
For further evaluation, contrast-enhanced magnetic resonance imaging MRI (CE-MRI) brain with sella protocol was done in our department, the findings of which included hypoplastic anterior pituitary gland with a maximum height of 3 mm (normal height=5.4 ± 1.5 mm) [1] and an ectopically placed posterior pituitary bright spot at the level of the optic chiasma. The pituitary stalk was not visualized (Figure 1a and b). No other significant abnormality was seen. Based on these CE-MRI features, the radiological diagnosis of pituitary stalk interruption syndrome (PSIS) was made.

PSIS is characterized by the triad of an absent or hypoplastic anterior pituitary, thin or absent infundibulum and ectopic posterior pituitary. It is a rare disorder with an estimated incidence of 0.5/100, 000 births [2]. The clinical presentation varies according to the age of the patient and the severity of hormone deficiency. While neonates present with hypoglycaemia and failure to thrive, young children usually present with growth retardation. Delayed puberty is seen in adolescents. Initially, the patient may present with only GH deficiency which may eventually progress to multiple pituitary hormone deficiencies with a preserved posterior pituitary function. There are multiple associations seen with PSIS like breech delivery, neonatal hypoxemia, micropenis and cryptorchidism [3]. Brain MRI shows a range of features that includes small sella turcica, anterior pituitary hypoplasia and absence of the pituitary stalk and the presence of high signal posterior pituitary at the ectopic location, mostly at the infundibulum or at the median eminence of the hypothalamus [4,5]. Contrast-enhanced MRI is more effective than non-contrast MRI to look for the enhancement of the pituitary stalk and to look for the integrity of the hypothalamo-hypophyseal pituitary vessels [6].

Figure 1. (a) Sagittal and (b) coronal T1 weighted MRI image showing bright posterior pituitary spot at optic chiasma (small white arrow in a and b), and hypoplastic anterior pituitary in the sella turcica (large white arrow in a) with non-visualization of the pituitary stalk.

With the recent advancements in radiological and biochemical investigations, diagnosis of this rare entity can be done at an early age, which can prompt the clinicians to start hormonal replacement therapies at the earliest, thus, providing the child with a better opportunity for age-appropriate wholesome growth [7].

Clinical presentation, biochemical investigations, and radiological findings in our case supported the diagnosis of PSIS. The child was started on GH and thyroxine supplementation and is maintaining well on the supplements. The child’s further treatment plan includes hormonal supplementation and close growth monitoring.


ACKNOWLEDGEMENT

The Authors would like to thank the Department of Endocrinology, All India Institute of Medical Sciences, Rishikesh, India.


CONFLICT OF INTEREST

The authors declare that there is no conflict of interest regarding the publication of this article.


FUNDING

None.


ETHICAL APPROVAL

Ethical approval was obtained from the Ethics Committee of our institute. Informed consent for participation and publication of medical details was obtained from the parents. Confidentiality was ensured at all stages.


REFERENCES

  1. Yadav P, Singhal S, Chauhan S, Harit S. MRI evaluation of size and shape of the normal pituitary gland: age and sex-related changes. J Clin Diagn Res. 2017;11(12):TC01–4. https://doi.org/10.7860/JCDR/2017/31034.10933
  2. Arrigo T, Wasniewska M, De Luca F, Valenzise M, Lombardo F, Vivenza D, et al. Congenital adenohypophysis aplasia: clinical features and analysis of the transcriptional factors for embryonic pituitary development. J Endocrinol Invest. 2006;29(3):208–13. https://doi.org/10.1007/BF03345541
  3. Wang CZ, Guo LL, Han BY, Su X, Guo QH, Mu YM. Pituitary stalk interruption syndrome: from clinical findings to pathogenesis. J Neuroendocrinol. 2017;29(1). https://doi.org/10.1111/jne.12451
  4. Bar C, Zadro C, Diene G, Oliver I, Pienkowski C, Jouret B, et al. Pituitary stalk interruption syndrome from infancy to adulthood: clinical, hormonal, and radiological assessment according to the initial presentation. PLoS One. 2015;10(11):e0142354. https://doi.org/10.1371/journal.pone.0142354
  5. Chen S, Léger J, Garel C, Hassan M, Czernichow P. Growth hormone deficiency with ectopic neurohypophysis: anatomical variations and relationship between the visibility of the pituitary stalk asserted by magnetic resonance imaging and anterior pituitary function. J Clin Endocrinol Metab. 1999;84(7):2408–13. https://doi.org/10.1210/jcem.84.7.5849
  6. Vergier J, Castinetti F, Saveanu A, Girard N, Brue T, Reynaud R. Diagnosis of endocrine disease: pituitary stalk interruption syndrome: etiology and clinical manifestations. Eur J Endocrinol. 2019;181(5):R199–209. https://doi.org/10.1530/EJE-19-0168
  7. Zhang W, Qian F, Lu G, Wu Y, Li R, Xia L, et al. Pituitary stalk interruption syndrome: a rare case report and literature review. Medicine (Baltimore). 2020;99(50):e23266. https://doi.org/10.1097/MD.0000000000023266


How to Cite this Article
Pubmed Style

Saini A, Sherwani P, Gupta G, Roul PK. Pituitary stalk interruption syndrome: a rare cause for poor developmental growth in children. Sudan J Paed. 2023; 23(1): 88-90. doi:10.24911/SJP.106-1641792629


Web Style

Saini A, Sherwani P, Gupta G, Roul PK. Pituitary stalk interruption syndrome: a rare cause for poor developmental growth in children. https://sudanjp.com//?mno=141160 [Access: November 26, 2025]. doi:10.24911/SJP.106-1641792629


AMA (American Medical Association) Style

Saini A, Sherwani P, Gupta G, Roul PK. Pituitary stalk interruption syndrome: a rare cause for poor developmental growth in children. Sudan J Paed. 2023; 23(1): 88-90. doi:10.24911/SJP.106-1641792629



Vancouver/ICMJE Style

Saini A, Sherwani P, Gupta G, Roul PK. Pituitary stalk interruption syndrome: a rare cause for poor developmental growth in children. Sudan J Paed. (2023), [cited November 26, 2025]; 23(1): 88-90. doi:10.24911/SJP.106-1641792629



Harvard Style

Saini, A., Sherwani, . P., Gupta, . G. & Roul, . P. K. (2023) Pituitary stalk interruption syndrome: a rare cause for poor developmental growth in children. Sudan J Paed, 23 (1), 88-90. doi:10.24911/SJP.106-1641792629



Turabian Style

Saini, Aditi, Poonam Sherwani, Gaurav Gupta, and Pradeep Kumar Roul. 2023. Pituitary stalk interruption syndrome: a rare cause for poor developmental growth in children. Sudanese Journal of Paediatrics, 23 (1), 88-90. doi:10.24911/SJP.106-1641792629



Chicago Style

Saini, Aditi, Poonam Sherwani, Gaurav Gupta, and Pradeep Kumar Roul. "Pituitary stalk interruption syndrome: a rare cause for poor developmental growth in children." Sudanese Journal of Paediatrics 23 (2023), 88-90. doi:10.24911/SJP.106-1641792629



MLA (The Modern Language Association) Style

Saini, Aditi, Poonam Sherwani, Gaurav Gupta, and Pradeep Kumar Roul. "Pituitary stalk interruption syndrome: a rare cause for poor developmental growth in children." Sudanese Journal of Paediatrics 23.1 (2023), 88-90. Print. doi:10.24911/SJP.106-1641792629



APA (American Psychological Association) Style

Saini, A., Sherwani, . P., Gupta, . G. & Roul, . P. K. (2023) Pituitary stalk interruption syndrome: a rare cause for poor developmental growth in children. Sudanese Journal of Paediatrics, 23 (1), 88-90. doi:10.24911/SJP.106-1641792629





Most Viewed Articles
Most Accessed Articles

  • Rheumatic heart disease in North Darfur: an alarmingly high burden and control initiative
    Nagwa Salih, Ishag Eisa, Daresalam Ishag, Intisar Ibrahim, Sulafa Ali
    Sudan J Paed. 2018; 18(1): 24-27
    » Abstract » doi: 10.24911/SJP.2018.1.4

  • Feeding growth restricted premature neonates: a challenging perspective
    Siba Prosad Paul, Emily Natasha Kirkham, Katherine Amy Hawton, Paul Anthony Mannix
    Sudan J Paed. 2018; 18(2): 5-14
    » Abstract » doi: 10.24911/SJP.106-1519511375

  • Congenital brain malformations in Sudanese children: an outpatient-based study
    Inaam Noureldyme Mohammed, Soad Abdalaziz Suliman, Maha A Elseed, Ahlam Abdalrhman Hamed, Mohamed Osman Babiker, Shaimaa Osman Taha
    Sudan J Paed. 2018; 18(1): 48-56
    » Abstract » doi: 10.24911/SJP.2018.1.7

  • Evaluation of Science. [eng]
    Adnan Mahmmood Usmani; Sultan Ayoub Meo
    Sudan J Paed. 2011; 11(1): 6-7
    » Abstract

  • Medical education and services in an extreme environment
    Mustafa Abdalla M. Salih, Mohammed Osman Swar
    Sudan J Paed. 2018; 18(1): 2-5
    » Abstract » doi: 10.24911/SJP.2018.1.1

  • Most Downloaded
    Top Downloaded Articles

  • The role of micronutrients in thyroid dysfunction
    Amir Babiker, Afnan Alawi, Mohsen Al Atawi, Ibrahim Al Alwan
    Sudan J Paed. 2020; 20(1): 13-19
    » Abstract » doi: 10.24911/SJP.106-1587138942

  • Why mothers are not exclusively breast feeding their babies till 6 months of age? Knowledge and practices data from two large cities of the Kingdom of Saudi Arabia
    Hafsa Raheel, Shabana Tharkar
    Sudan J Paed. 2018; 18(1): 28-38
    » Abstract » doi: 10.24911/SJP.2018.1.5

  • Relactation in lactation failure and low milk supply
    Anita Mehta, Arvind Kumar Rathi, Komal Prasad Kushwaha, Abhishek Singh
    Sudan J Paed. 2018; 18(1): 39-47
    » Abstract » doi: 10.24911/SJP.2018.1.6

  • Inborn errors of metabolism associated with hyperglycaemic ketoacidosis and diabetes mellitus: narrative review
    Majid Alfadhel, Amir Babiker
    Sudan J Paed. 2018; 18(1): 10-23
    » Abstract » doi: 10.24911/SJP.2018.1.3

  • Neonatal polycythaemia
    Bashir Abdrhman Bashir, Suhair Abdrahim Othman
    Sudan J Paed. 2019; 19(2): 81-83
    » Abstract » doi: 10.24911/SJP.106-1566075225

  • Most Cited Articles
    Most Cited Articles

  • Anti-diabetic medications: How to make a choice?
    Amir Babiker, Mohammed Al Dubayee
    Sudan J Paed. 2017; 17(2): 11-20
    » Abstract » doi: 10.24911/SJP.2017.2.12
    Cited : 8 times [Click to see citing articles]

  • Commitment to the wellbeing of children worldwide. [eng]
    Mustafa Abdalla M Salih; Satti Abdelrahim Satti
    Sudan J Paed. 2011; 11(2): 4-5
    » Abstract
    Cited : 4 times [Click to see citing articles]

  • Pattern of malaria in hospitalized children in Khartoum state
    Hasan Awadalla Hashim, Eltigani Mohamed Ahmed Ali
    Sudan J Paed. 2017; 17(2): 35-41
    » Abstract » doi: 10.24911/SJP.2017.2.4
    Cited : 4 times [Click to see citing articles]

  • The role of micronutrients in thyroid dysfunction
    Amir Babiker, Afnan Alawi, Mohsen Al Atawi, Ibrahim Al Alwan
    Sudan J Paed. 2020; 20(1): 13-19
    » Abstract » doi: 10.24911/SJP.106-1587138942
    Cited : 4 times [Click to see citing articles]

  • Broad beans ( Vicia faba ) and the potential to protect from COVID-19 coronavirus infection
    Mutasim I. Khalil, Mustafa A. Salih, Ali A. Mustafa
    Sudan J Paed. 2020; 20(1): 10-12
    » Abstract » doi: 10.24911/SJP.1061585398078
    Cited : 4 times [Click to see citing articles]